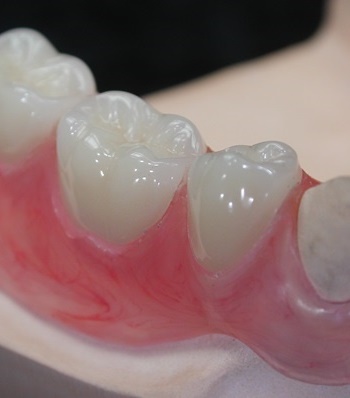
individuelle Titanabutments
Ab sofort können wir Implantataufbauten aus Titan 5 in unserer neuen M4 selber gestalten und fräsen.
Astra, Ankylos, Bego, Camlog, Conelog, Straumann, Neoss ,Xive, Nobel Biocare, Biomet, ICX, Sky, MIS und weitere Systeme lassen sich jetzt ganz individuell anfertigen.
Hybrid-Fertigung von Teleskopprothesen
Hochkomplexe Teleskoparbeiten, mit Transversalband, Lingualbügel oder skelettiert,
können wir jetzt in höchster Präzision auch zu BEL II Preisen anbieten.
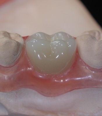
Das Sekundärgerüst wird bei dieser Methode im Laserschmelzverfahren generiert,
Die Passung der Teleskope wird dann in einem Feinfräsvorgang optimiert.
Lunker und Spannungen, durch konventionelle Gussverfahren, sind hierbei ausgeschlossen!

Das Zahnwerk macht jetzt Druck !

Beispiele mit P.E.E.K.
Der kleine Werbeblock
Steg from Christian Esser on Vimeo.
Die Teleskopprothese
Teleskop from Christian Esser on Vimeo.
Berlin hat endlich einen virtuellen Artikulator!
Zahnwerk Berlin arbeitet mit dem weltweit modernsten Artikulatorprogramm.
Es lassen sich sowohl Gelenkbahnneigungen und Bennet-Winkel eingeben, als auch Immediate Sideshift.
Ein wesentlicher Vorteil bei vollanatomischen Strukturen !
Die Kombination mit dem Artex Analog Artikulatorsystem ergibt neue Möglichkeiten der Diagnostik und Umsetzung von prothetischen Arbeiten.
Die Hip-Mount Okklusionsebenen Montage ist ein weiterer zuverlässiger Baustein.
virtueller Artikulator